Invisalign®
Invisalign® at City Dental on Bay starting at just $2997!
Straighten your teeth discreetly in as little as 3 months.
Discover Your Perfect Smile with City Dental on Bay
Get A Straighter Smile Without Braces
As one of the top 1% Invisalign providers, our experience and proven results mean you can trust us to help you achieve a smile you’ll love—without the hassle of traditional braces.
Imagine feeling confident every time you smile. With Invisalign, you can close gaps, align crooked teeth, and elevate your self-esteem with clear aligners that fit seamlessly into your life. It’s simpler than you think.
Why Choose Invisalign?
Comfortable and Gentle: No more painful wires or bulky brackets. Plus, with advanced digital scanning, there are no messy impressions to worry about.
Freedom and Convenience: Invisalign lets you enjoy life on your terms. Eat what you want, and wear your aligners discreetly so nothing interrupts your routine.
Timely Results for Your Big Moments: Planning for your wedding or a special event? Invisalign can give you a transformed smile just in time to shine on your important day.
Stop hiding your smile. Embrace a straighter, more radiant smile with Invisalign and live your best life with confidence.
In Person or Virtual Consultations Available
Come find out if Invisalign is right for you. With our cutting-edge iTero 3D scanner you can preview your new post-Invisalign smile.
What You Get
- Learn if Invisalign is right for you, and what your treatment plan might look like.
- Free 3D smile scan. Preview your post-Invisalign smile with our cutting-edge iTero technology.
- Learn how the Invisalign process works.
- Learn how our financing options make treatment more affordable.
- 1-on-1 time with our Invisalign coordinator to ask all your questions.
City Dental on Bay is a Diamond Invisalign Provider and we have helped thousands of patients smile with more confidence. We would love to help you smile more!
Why choose City Dental on Bay for your Invisalign treatment?
Invisalign® in Toronto
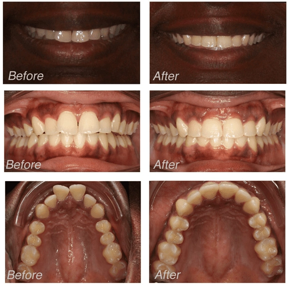
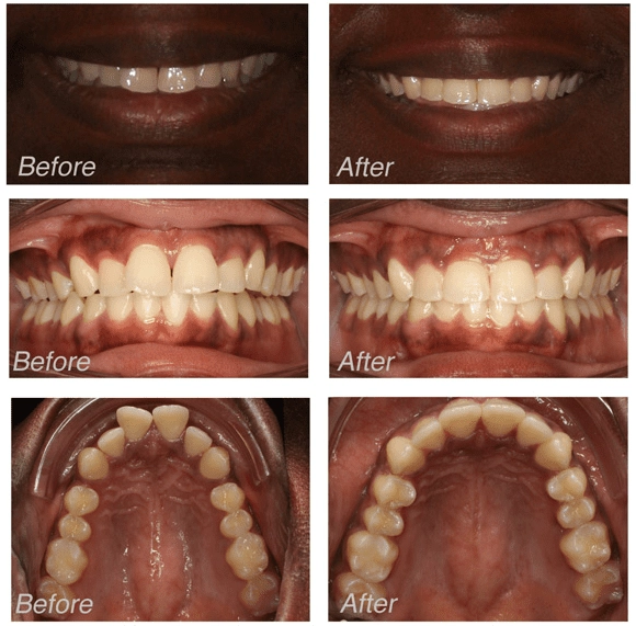
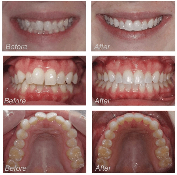
Smiles we’ve made



Frequently Asked Questions About Invisalign
Invisalign costs can vary depending on the complexity of treatment and the length of the plan. City Dental on Bay offers Invisalign consultations to help patients understand their options. At City Dental on Bay, our consultations are free and costs start at $2997.
Invisalign may be suitable for patients with mild to moderate spacing, crowding, or alignment concerns. A consultation can help determine whether Invisalign is right for you. You can also take the brief smile quiz to determine if you’re a good candidate for Invisalign.
Treatment time varies by patient. Some cases may take as little as 3 months, while more complex cases can take longer depending on the movement needed.
Take the first step toward a confident, renewed smile.
Call City Dental on Bay at (647) 957–2500 to schedule your consultation.
City Dental on Bay – Where Your New Smile Begins.
